でんわ
076-255-0925

診療時間 平日 9:30〜12:30/15:00〜18:30
土曜日 9:00〜13:00/休診日:水曜・日曜・祝日

HOME > 手術 > 脂腺増殖症の治療

脂腺増殖症の治療

Sebaceous Hyperplasia TREATMENT

脂腺増殖症とは

 
脂腺増殖症とは
直径3〜8mm程度の黄白色の丘疹で、成熟した脂腺(皮脂をつくるところ)が増殖して隆起した良性腫瘍です。
顔とくに、額や頬、鼻によくできます。
中心部が凹んでおり(中心陥凹)、しばしば多発することもあり、皮脂が多い方によくできます。
老人性脂腺増殖症の画像

・脂漏性角化症
・無色素性母斑細胞性母斑
・稗粒腫
・汗管腫
・線維性丘疹
・表皮のう腫
・基底細胞癌
などが鑑別診断に挙がります。
当院では十分な視診と触診、ダーモスコピーによる診断を行っています。
 

パンチによる脂腺増殖症の手術

当院では丸く皮膚を切り取るパンチという道具(1mm、1.5mm、2mm、2.5mm、3mm、3.5mmと幅広いサイズを取りそろえています)
で1つずつくり抜いて治療します。
くり抜き法の利点としては、脂腺増殖症の再発を防ぎ、かつ病理検査にも提出可能で、傷跡もほぼ目立ちません。
穴はだいたい1週間で塞がって、赤みが3~4ヶ月続きますが赤みが消えるとほとんど傷跡は目立たなくなります。
麻酔による皮下出血が起きないように細いカニューレを用いて麻酔を行っています。
 

手術の回数について

たいていの場合、1〜2回で終了します。
炭酸ガスレーザーで照射した場合は傷跡が目立ち(凹んだり膨らんだりします)、病理検査に提出できず、また再発するリスクがあるため当院では行っていません。
 
 

AGNESによる脂腺増殖症の治療

AGNES(アグネス)の治療では特殊な電気針を使って、脂腺増殖症の奥に高周波の熱を加えます。
高周波の熱を加えることで、脂腺増殖症を構成する皮脂腺を破壊し縮小させます。瘢痕を残すことなく汗管腫を治療できますが、治療の効果を実感いただけるのは1~4ヶ月後になります。
 
AGNES(アグネス)は ニキビの治療汗管腫の治療でも使用しています。
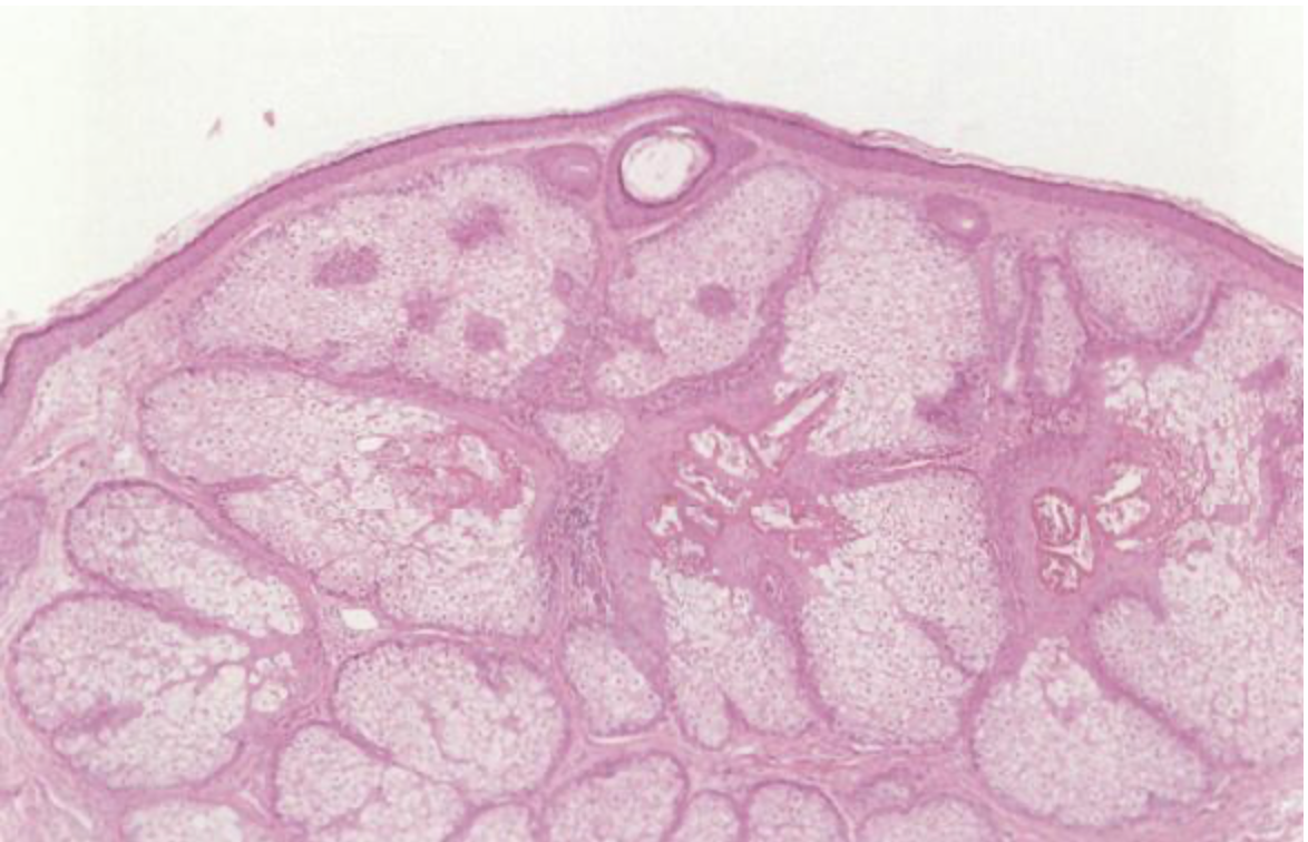
老人性脂腺増殖症の病理像

 

イソトレチノインによる脂腺増殖症の治療

イソトレチノインはビタミンA誘導体で、皮脂腺の活動を抑える薬です。脂腺増殖症の「新生」を抑える効果が期待できます。海外ではニキビ治療に広く使われ、当院でもニキビに対し保険適応外で処方しています。
また皮脂を強力に抑えるため、当院では顔の皮脂を抑えたい方に処方する場合もあります。
多発、再発を繰り返す脂腺増殖症に有効な選択肢となります。
内服後数ヶ月〜半年で脂腺増殖症が縮小してきます。
 
重症ニキビに対するイソトレチノイン内服
 
(副作用・注意点)
・口唇の乾燥、皮膚の乾燥、鼻出血
・妊娠中・授乳中は禁忌(催奇形性があるため)
・長期内服は医師の管理が必須
 

症例写真

モニターさんの治療経過です。

症例1

汗管腫手術前

手術前

パンチで汗管腫を1つずつ、くり抜き手術を行いました。
治療費:13,980円(3割負担時)
※上記の症例の場合

汗管腫手術後

手術半年後

1回の手術で満足されたため2回目を行っていません。そのため汗管腫は少し残っています。

症例2

汗管腫AGNES治療前

AGNES治療前

治療費:11,000円(自費診療)
※上記の症例の場合

汗管腫AGNES治療直後

AGNES治療直後
 
汗管腫AGNES治療後

AGNES治療後
治療から4ヶ月後の状態です。

料金

保険診療 

  • 3割負担の時の支払い額になります。
  • 露出部は顔・首部分です。
  • 下記料金以外にも初診料、再診料、処方料、薬剤料がかかります。
  • クレジットカードが使えます。
露出部 2cm未満

手術代4,980円+病理検査代2,970円
合計7,950円

露出部 4cm未満

手術代11,010円+病理検査代2,970円

合計13,980円

自費診療

  • クレジットカードが使えます。
初診料

3,300円

再診料

1,100円

施術料

針代 6,600円

1ヶ所 1,100円

上限料金

110,000円

※表示価格は税込です。 
※針代は毎回発生するわけではございません。針が傷んだら交換になり、その際に料金が発生いたします。
※プラス1,100円で塗る麻酔をしてから施術いたします。

合併症・副作用

パンチ手術

感染

細菌による炎症が起こることがあります。

血腫

術後、皮膚の下に出血が起こり血液が貯留することがあります。

出血

術後にやや多い出血を起こします。

内出血

術後概ね起こる皮下の血液の組織への浸透で、自然に吸収されます。

瘢痕

全ての皮膚切開創は、多少の傷跡が残ります。肌質的に目立つ人もいます。

肥厚性瘢痕(ケロイド)

傷跡の中でも、膨らみや硬さが強いものです。原因は、遺伝性のため術前には防御することができません。ただし、治療法があります。

 

AGNESによる治療

赤み

赤みが数日〜2週間続きます。人により赤みが強く出ることもあるので、 治療予定日はこの点を留意してください。

色素沈着

治療部位に色素沈着が生じることがあります。1~2ヶ月で消失します。

汗管腫の治療の留意点


  パンチ手術 AGNES
予約の要否 診察順番予約で番号をお取りになりご来院ください。 診察順番予約で番号をお取りになりご来院ください。
手術日 即日可能 即日可能
手術時間 30分  30分 
ダウンタイム 強い腫れは1~2週間
内出血は2~3週間
強い腫れは1週間
内出血は2~3週間
抜糸 なし なし
通院回数 2回(診察・手術/1週間後)※状態によって3回以上 1回
治療回数 1~3回 2回以上
持続性 ★★★ ★★★
コンタクトレンズ - -
洗顔 手術当日から可能 手術当日から可能
シャワー浴 手術当日から可能 手術当日から可能
入浴 手術当日から可能 手術当日から可能
メイク 手術翌日から手術部位以外なら可能 手術翌日から手術部位以外なら可能

Q&A

Q. 手術は痛いですか?

A. 局所麻酔(歯の麻酔と同じもの)の時に痛みはありますが、手術中は痛みはありません。

Q. 手術後は痛いですか?

A. 当日、翌日ぐらいまで痛みが続きますが、我慢できる程度の痛みです。
痛みに対しては痛み止めの内服薬を処方いたします。

Q. 手術時間はどれくらいですか?

A. 麻酔をした後、麻酔がよく効くまで5~10分程お待ちいただきます。手術は脂腺増殖症の個数によりますが、10~20分で終了いたします。

Q. 手術後の処置は?

A. 当日から入浴していただきます。患部をシャワーでよく洗い流し、入浴後、ガーゼで保護する処置を行ってもらいます。顔面の場合は、ガーゼ保護を行わないことも可能です。

Q. どれくらいで治りますか?

A. 脂腺増殖症の個数にもよりますが、だいたい3~4ヶ月ほどで赤みが消え、傷痕は目立たなくなります。

Q. 2回目はどのくらいの間隔で手術を行いますか?

A. パンチによる手術は赤みがひいた3~4ヶ月後に、AGNESの治療は1ヶ月間隔で行います。